3ης γενιάς διαδερμική τεχνική για το κότσι
[content_table]
Η 3ης γενιάς διαδερμική τεχνική για το κότσι αποτελεί τη νεότερη εξέλιξη των ελάχιστα παρεμβατικών τεχνικών για τη διόρθωση του βλαισού μεγάλου δακτύλου. Η εξέλιξη έγκειται στη χρήση ειδικών βιοσυμβατών βιδών τιτανίου, που συγκρατούν ισχυρά την οστεοτομία. Παρέχουν έτσι τη δυνατότητα ταχύτατης μετεγχειρητικής κινητοποίησης, με βάδιση αμέσως μετά την επέμβαση.
Το κότσι (βλαισός μέγας δάκτυλος) αποτελεί τη συχνότερη παραμόρφωση του προσθίου ποδός. Η προοδευτική προς τα έξω στροφή του μεγάλου δακτύλου οδηγεί προοδευτικά σε επώδυνη παραμόρφωση του προσθίου ποδός. Ως αποτέλεσμα εμφανίζεται δυσχέρεια στη βάδιση και την ανεύρεση κατάλληλων υποδημάτων.
Πρώτης γενιάς διαδερμικές τεχνικές για το κότσι
Στις διαδερμικές επεμβάσεις 1ης γενιάς για το κότσι χρησιμοποιήθηκαν βελόνες για τη συγκράτηση της διόρθωσης. Πέραν της αντιαισθητικής εικόνας με τις βελόνες να προεξέχουν έξω από το δέρμα (ώστε να αφαιρούνται εύκολα 4 εβδομάδες μετά την επέμβαση), υπήρξαν και τα ακόλουθα προβλήματα:
- Οι βελόνες παρείχαν μια μάλλον πενιχρή συγκράτηση της οστεοτομίας, με κίνδυνο απώλειας της ανάταξης και υποτροπή της παραμόρφωσης.
- Προκαλούσαν συχνά λοιμώξεις κατά την είσοδο μικροβίων δια της βελόνας (pin-track infection).
- Απαγορευόταν η πρώιμη φόρτιση, επομένως και η βάδιση μετεγχειρητικά.

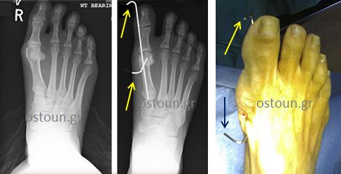
Διαδερμική τεχνική 1ης γενιάς με τις βελόνες που προεξείχαν του δέρματος
Δεύτερης γενιάς διαδερμικές τεχνικές για το κότσι
Στις διαδερμικές οστεοτομίες δεύτερης γενιάς αντιμετωπίστηκε το πρόβλημα της πλημμελούς συγκράτησης της οστεοτομίας. Έτσι, χρησιμοποιήθηκαν υλικά, τα οποία παρείχαν ισχυρή συγκράτηση και βοηθούσαν στη γρήγορη κινητοποίηση. Τέτοια υλικά ήταν ειδικά σχεδιασμένες πλάκες. Το μειονέκτημά τους ήταν ο μεγάλος τους όγκος, κάτι που δε συμβάδιζε με τη φιλοσοφία της ελάχιστα παρεμβατικής πράξης.

Διαδερμική τεχνική δεύτερης γενιάς με ογκώδη υλικά οστεοσύνθεσης
Τρίτης γενιάς διαδερμική τεχνική για το κότσι
Στη διαδερμική τεχνική 3ης γενιάς για το κότσι, το πρόβλημα της συγκράτησης της οστεοτομίας λύνεται οριστικά με ειδικές βίδες τιτανίου. Οι βίδες αυτές παρέχουν τα ακόλουθα πλεονεκτήματα:
- Είναι πλήρως βιοσυμβατές
- Είναι ακέφαλες, ώστε να βυθίζονται ουσιαστικά στην επιφάνεια του οστού και να μην προεξέχουν καθόλου. Επομένως, δεν ενοχλούν καθόλου και δεν απαιτείται να αφαιρεθούν.
- Είναι συμπιεστικές, προκαλούν δηλαδή συμπίεση της οστεοτομίας που καλούνται να συγκρατήσουν. Οδηγούν έτσι σε ισχυρότερη συγκράτηση και ταχύτερη επούλωση του οστού.
Πλεονεκτήματα της διαδερμικής τεχνικής τρίτης γενιάς
Σε συνδυασμό με τα υπόλοιπα πλεονεκτήματα των διαδερμικών τεχνικών, η 3ης γενιάς διαδερμική τεχνική για το κότσι έχει μόνο πλεονεκτήματα, τα οποία παραθέτουμε:
- Η επέμβαση γίνεται μόνο με περιοχική αναισθησία. Αναισθητοποιείται δηλαδή μόνο στο πρόσθιο τμήμα του ποδιού που χειρουργείται με ένεση παρόμοια με των οδοντιάτρων.
- Η διεγχειρητική αναισθησία διατηρείται και μετά την επέμβαση, για 36-48 ώρες. Καθιστά έτσι την επέμβαση για το κότσι εντελώς ανώδυνη.
- Το μέγεθος των διαδερμικών οπών είναι μερικά χιλιοστά. Σε περιπτώσεις μεγάλων παραμορφώσεων, όμως, ενδέχεται να μην επαρκούν.
- Η απώλεια αίματος είναι μηδαμινή. Η επέμβαση χαρακτηρίζεται πραγματικά ως αναίμακτη.
- Η χρήση των σύγχρονων συμπιεστικών βιδών τιτανίου οδηγεί σε ισχυρότερη συγκράτηση και ταχύτερη επούλωση του οστού. Οι βίδες αυτές δε χρειάζεται να αφαιρεθούν.
- Η βάδιση επιτρέπεται αμέσως μετά την επέμβαση με το ειδικό μετεγχειρητικό υπόδημα, χωρίς πατερίτσες.
- Αντιμετωπίζονται ταυτόχρονα και τα δύο πόδια, εφόσον η παραμόρφωση είναι και στα δύο πόδια.
- Δεν απαιτείται νοσηλεία.
- Μετεγχειρητικός πόνος δεν υπάρχει, λόγω του αναισθητικού μπλοκ που εφαρμόζουμε.
- Επιτρέπονται οι μετακινήσεις εντός της οικίας, αλλά συνιστάται το χειρουργημένο πόδι να είναι όσο το δυνατόν περισσότερη ώρα σε ανάρροπη θέση (σε 2 μαξιλάρια) για 15 μέρες.
- Ευρύχωρα υποδήματα, όπως τα αθλητικά, μπορούν να χρησιμοποιηθούν ένα μήνα μετά το χειρουργείο.
- Το μετεγχειρητικό οίδημα υποχωρεί γρηγορότερα από τις ανοικτές τεχνικές και δεν προκαλεί δυσκολίες στη βάδιση.
Συμπερασματικά, με την τρίτης γενιάς διαδερμική τεχνική για το κότσι επιτυγχάνουμε να συνδυάσουμε τα οφέλη της διαδερμικής επέμβασης με τη σταθερότητα της ανοικτής επέμβασης.
Η πολυετής εμπειρία μας στη χειρουργική τεχνική για το κότσι εγγυώνται την οριστική αντιμετώπιση του βλαισού μεγάλου δακτύλου.
Επικοινωνήστε τώρα με τον εξειδικευμένο Ορθοπαιδικό Χειρουργό Δρ Β.Κ.Φωτόπουλο και ενημερωθείτε διεξοδικά για τις νέες τεχνικές ελάχιστης παρεμβατικότητας.

